Mikrochirurgie

Mikrochirurgische Wurzelspitzenresektion

Mikro-chirurgie

Mikrochirurgische Wurzelspitzenresektion

Natürliche Zähne erhalten – statt vorschnell entfernen:

Viele Patienten entscheiden sich bei einer Entzündung im Bereich der Wurzelspitze zu schnell für eine Zahnentfernung. Dabei gibt es heute moderne, schonende Verfahren, mit denen der Zahn langfristig erhalten werden kann.

Eine der erfolgreichsten Methoden ist die mikrochirurgische Wurzelspitzenresektion (MWR) – ein hochpräziser Eingriff, der den natürlichen Zahn in den meisten Fällen rettet.

Zwei digitale Röntgenaufnahmen von Backenzähnen auf einem Monitor. Die Bilder zeigen Zahnwurzeln, Wurzelkanäle und den umgebenden Kieferknochen zur Beurteilung des Zahnzustands.

Vorher

Nachher

Röntgenaufnahme zweier ungehandelter Zähne mit Wurzelkanal Problemen. Die Aufnahmen zeigen die Zahnwurzeln und die umgebende Knochensubstanz.
Vorher
Röntgenaufnahme zweier behandelter Zähne mit Wurzelkanalfüllungen und Kronen. Die Aufnahmen zeigen die Zahnwurzeln, Wurzelfüllmaterialien und die umgebende Knochensubstanz.
Nachher

Warum nicht einfach ziehen?

Ein Zahnverlust ist immer ein erheblicher Eingriff in die natürliche Funktion des Gebisses. Der Ersatz furch Implantate oder Brücken ist kostenintensiver, aufwendiger und nicht immer notwendig.

Nach einer klassischen Wurzelbehandlung können Beschwerden bestehen bleibem. Grund dafür ist das komplexe, individuell verzweigte Wurzelkanalsystem: nicht alle Bakterien lassen sich vollständig entfernen.

Die Folge ist eine anhaltende Entzündung im Bereich der Wurzelspitze – verbunden mit Schmerzen, Schwellungen oder chronischen Beschwerden. Viele Patienten sehen dann nur noch die Möglichkeit einer Extraktion.

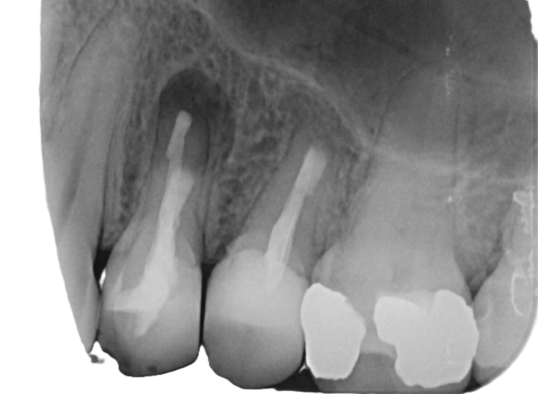
Zahnärztliches Röntgenbild mit mehreren Backenzähnen – Darstellung von Wurzelkanalbehandlungen und Füllungen zur Diagnostik in der Zahnklinik Nordhorn
Vorher
Zahnärztliches Röntgenbild mit mehreren Backenzähnen – Darstellung von Wurzelkanalbehandlungen und Füllungen zur Diagnostik in der Zahnklinik Nordhorn
Nachher

Die mikrochirurgische Wurzelspitzenresektion

Bei der MWR wird das entzündete Gewebe an der Wurzelspitze mikrochirurgisch entfernt. Unter Verwendung von Lupenbrille und Operationsmikroskop können die Wurzelkanäle anschließend gründlich gereinigt und mit biokompatiblen Materialien bakteriendicht verschlossen werden – deutlich effektiver als bei klassischen Methoden.

Das Verfahren orientiert sich an den mikrochirurgischen Techniken nach Prof. Kim (University of Pennsylvania, USA). Charakteristisch sind der minimalinvasive Zugang, die exakte Entfernung nur weniger Millimeter der betroffenen Wurzelspitze, die hochauflösende Darstellung unter bis zu 40-facher Vergrößerung und die retrograde Aufbereitung der Kanäle. Der Verschluss erfolgt mit biokompatiblen Materialien, die eine dichte Abdichtung gewährleisten und eine vollständige Knochenheilung ermöglichen.

Das Ergebnis ist die dauerhafte Beseitigung der Entzündung und der Erhalt des natürlichen Zahnes.

Wann eine MWR sinnvoll ist

Eine mikrochirurgische Wurzelspitzenresektion kann angezeigt sein, wenn:

  • anhaltende Schmerzen beim Kauen (Aufbissbeschwerden) bestehen
  • das Zahnfleisch im Bereich der Wurzelspitze geschwollen oder druckempfindlich ist
  • sich ein Fistelgang mit Flüssigkeitsaustritt gebildet hat
  • röntgenologisch Veränderungen im Bereich der Wurzelspitze sichtbar sind
  • eine Wurzelfüllung zu kurz oder zu lang ist
  • eine konventionelle Wurzelspitzenresektion erfolglos war
  • wiederkehrende Infektionen oder eine erhöhte Infektanfälligkeit vorliegen

Erfolgsquote im Vergleich

Die klassische Wurzelspitzenresektion erreicht nur eine Erfolgsquote von etwa 40%. Bei der mikrochirurgischen Technik nach Prof. Kim liegt die Erfolgsquote bei über 90%.

Grund dafür ist die Kombination aus modernster Mikroskoptechnik, präziser retrograder Aufbereitung und bakteriendichtem Verschluss. So können selbst feinste Seitenkanäle oder Mikrorisse erkannt und zuverlässig behandelt werden.

Vorteile der mikrochirurgischen Methode

  • Erfolgsquote über 90 %
  • in der Regel nach 2–3 Tagen wieder voll arbeitsfähig
  • vollständige Knochenregeneration möglich
  • nachhaltige und kostengünstigere Alternative zu Zahnersatz wie Implantaten oder Brücken

Erfolgskontrolle

Damit der langfristige Nutzen einer Therapie zuverlässig beurteilt werden kann, führen wir systematische Nachuntersuchungen durch. Patienten, die mit dieser Methode behandelt wurden, stellen sich in der Regel nach drei Monaten erneut vor. Falls erforderlich, erfolgt eine weitere Kontrolle nach sechs Monaten. Auf diese Weise lässt sich eindeutig feststellen, ob an der Wurzelspitze eine vollständige Heilung eingetreten ist.

Das Ergebnis wird durch Röntgenaufnahmen präzise überprüft: Ein neu gebildeter Knochen im Bereich der Wurzelspitze zeigt an, dass die Kaufunktion vollständig wiederhergestellt ist. Parallel dazu berichten die Patienten über ihre Erfahrungen im Heilungsverlauf und geben Auskunft über die Belastbarkeit des betroffenen Zahnes.

Erst wenn sowohl die radiologischen Befunde als auch die subjektiven Rückmeldungen überzeugen, sprechen wir von einem stabilen und dauerhaften Behandlungserfolg. In diesem Fall können die Zähne nach unserer Freigabe vom Zahnarzt mit Zahnersatz wie Kronen, Brücken oder Prothesenelementen versorgt werden.